Bright Smiles, Gentle Care
Serving Gota, Godrej Garden City, Vaishnodevi Circle, Chharodi, Jagatpur, Tragad, Adani Shantigram, New Chandkheda, New Ranip, Sola, Science City, and surrounding Ahmedabad areas with advanced dentistry.
Trusted by 25000+ patients around Ahmedabad
- Gota, Ahmedabad







About us
First Impressions Begin with a
Smile
Welcome to AKASH Dental Care and Implant Center, your trusted dental clinic in Gota committed to creating healthy, confident smiles for the whole family. Since our establishment, we have proudly served Gota and nearby areas including Jagatpur, Tragad, Adani Shantigram, and Science City with high-quality, affordable, and painless dentistry.
Led by Dr. Akash Patel (MDS, Prosthodontics & Implantology) and Dr. Dipti Patel (BDS, Root Canal Specialist), our clinic combines years of experience with advanced dental technology to provide comprehensive care under one roof. Whether you’re visiting for a routine check-up, dental implant, smile makeover, or root canal treatment, our team ensures a comfortable and stress-free experience at every step.
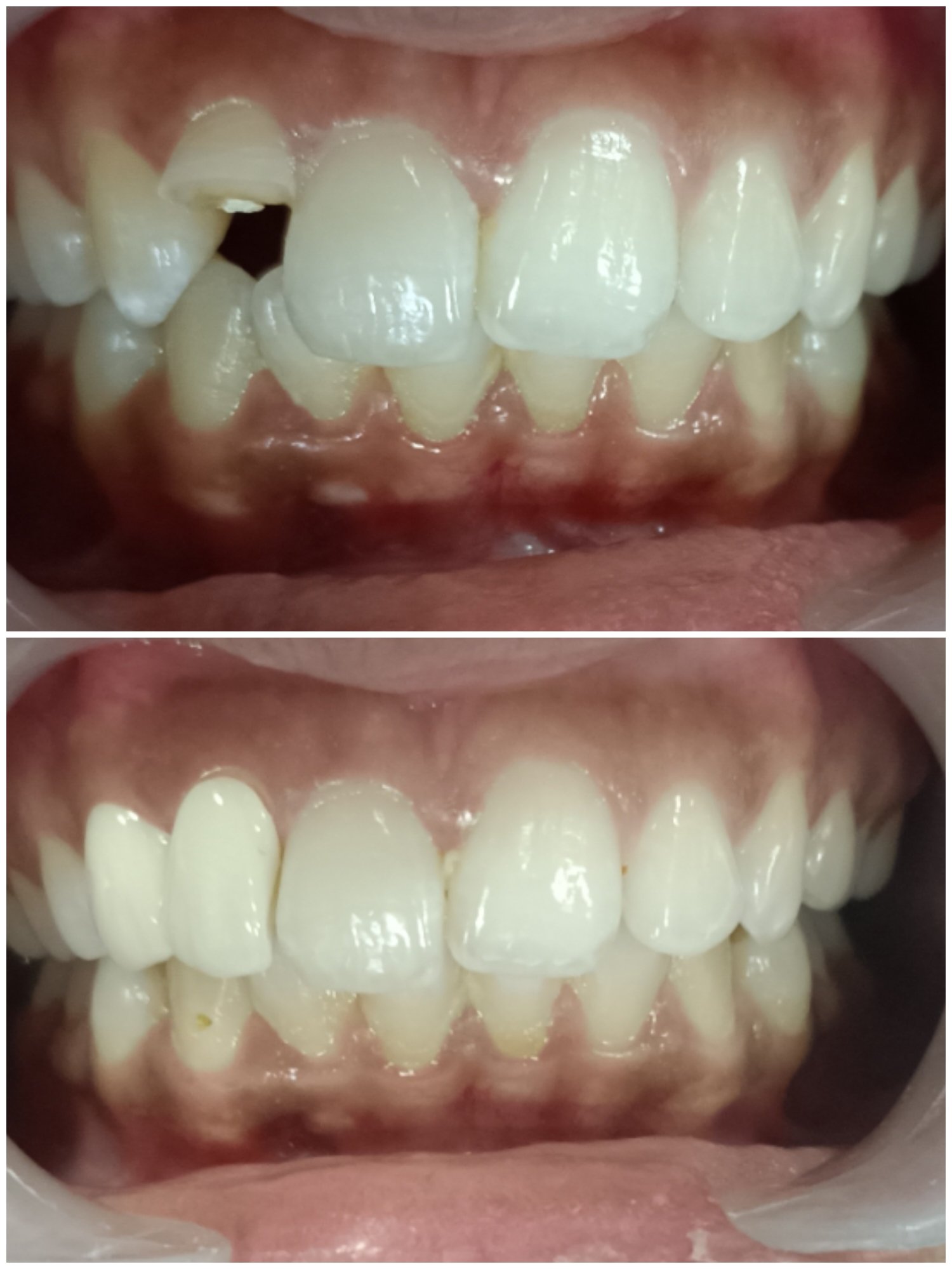
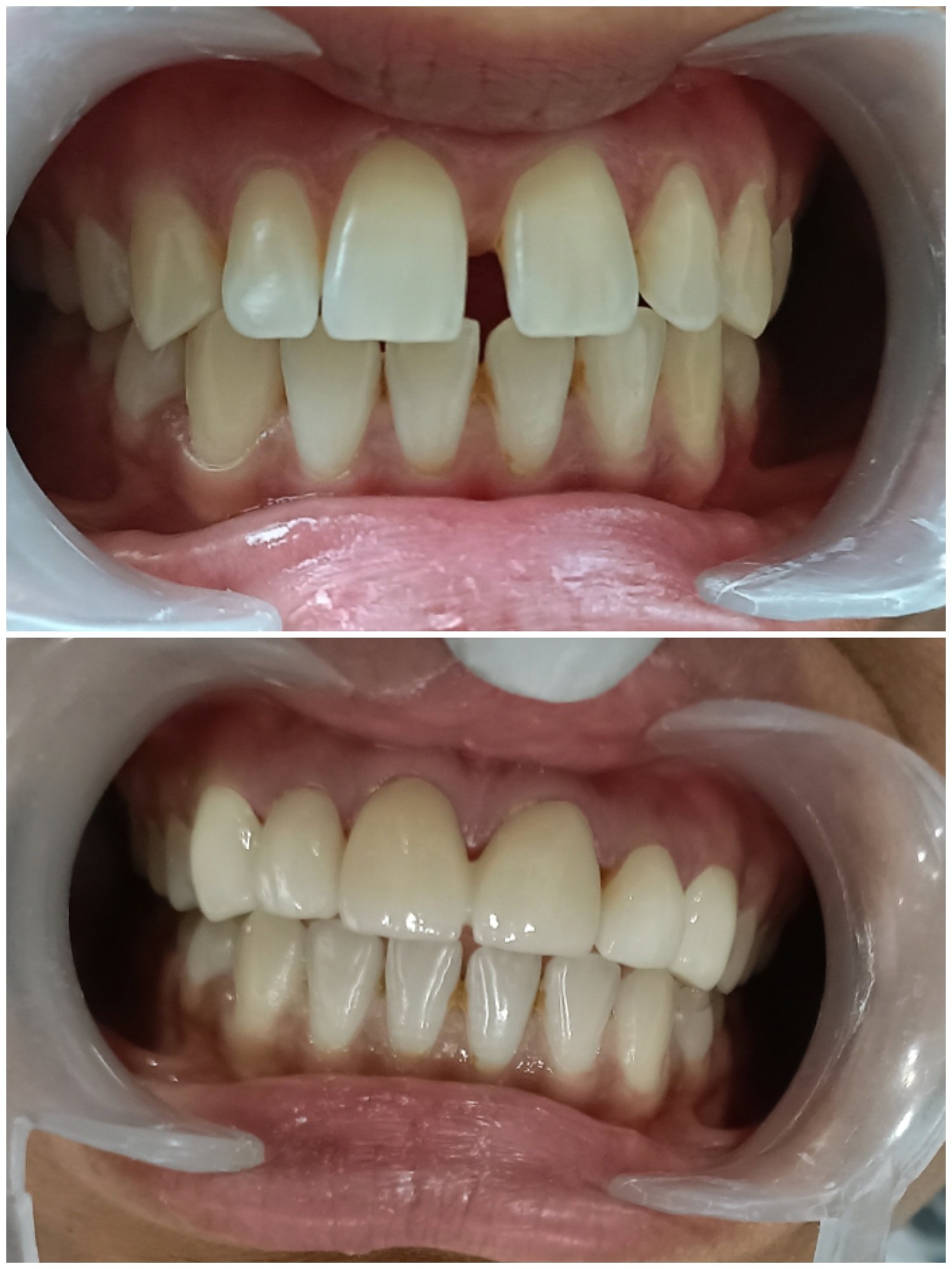
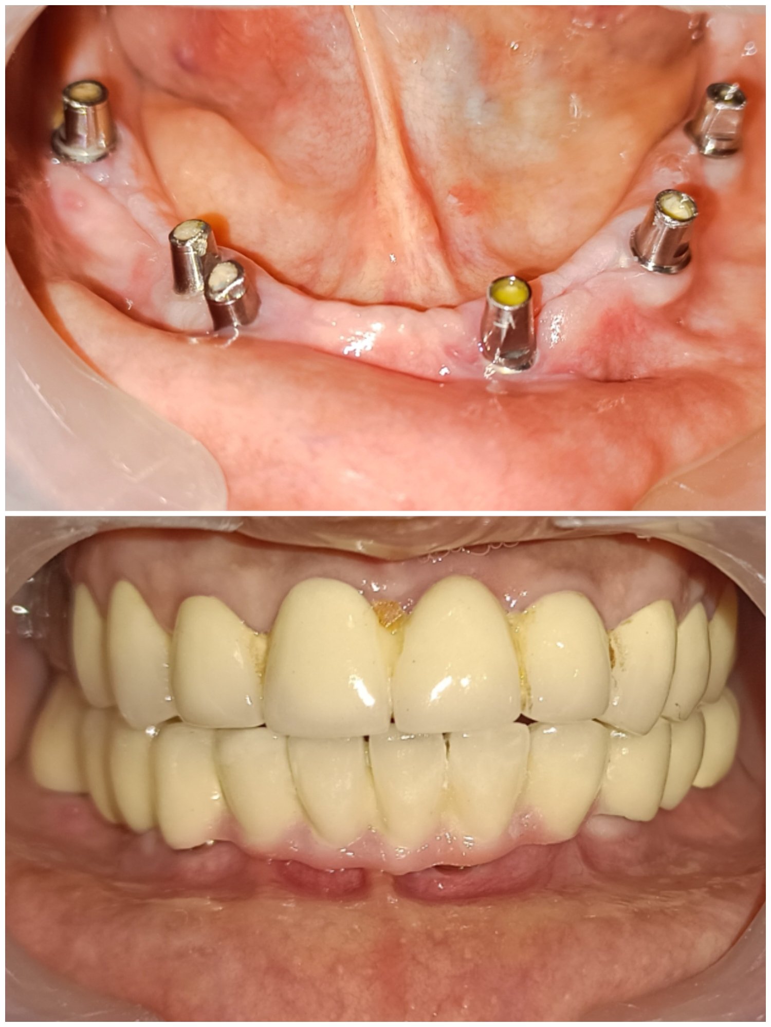
Confidence Restored – Before & After Treatments














Modern & Fully Equipped Dental Clinic
Why You Should Choose Akash Dental Care and Implant Center
Led by Dr. Akash Patel (MDS, Prosthodontics & Implantology) and Dr. Dipti Patel (BDS, Root Canal Specialist), our clinic offers specialized treatments with years of experience in advanced dentistry.
Equipped with a state-of-the-art 3-chair setup, digital imaging, and cutting-edge equipment, we ensure precise, painless, and comfortable treatments for every patient.
Since 2015, we’ve been the go-to dentist in Gota, serving families across Jagatpur, Tragad, Adani Shantigram, and surrounding Ahmedabad areas with compassionate, affordable, and reliable dental care.
Frequently Asked Questions
Our clinic is led by Dr. Akash Patel (MDS, Prosthodontics & Implantology) and Dr. Dipti Patel (BDS, Root Canal Specialist), providing expert care in Gota and nearby areas.
We were founded in 2015 and have been serving patients across Gota, Jagatpur, Tragad, Adani Shantigram, and surrounding Ahmedabad areas since then.
We proudly serve Godrej Garden City, Vaishnodevi Circle, Chharodi, Jagatpur, Tragad, Adani Shantigram, New Chandkheda, Sola, and Science City.
We provide dental implants, root canal treatment, full mouth rehabilitation, smile designing, clear aligners, dental crowns & bridges, and more.
Dr. Akash Patel, with over 10 years of experience, is a specialist in prosthodontics and implantology, providing expert and comprehensive dental care. Dr. Dipti Patel, a BDS (Root Canal Specialist ) graduate, offers advanced and personalized treatments tailored to each patient’s needs.
Yes, our world-class 3-chair facility is equipped with the latest technology for comfortable, precise, and painless treatments.
Yes, in 2020, we were recognized by the Sola Police Station for providing free medical care during COVID-19, and in 2023, we celebrated completing 2,000 successful dental implants.
You can book appointments online or call our clinic. We serve patients from Gota, Jagatpur, Tragad, Adani Shantigram, and nearby areas.
Absolutely. Our dentists provide timely and professional care for emergencies across Gota and surrounding Ahmedabad locations.
We combine expertise, modern technology, and compassionate care to deliver trusted dental services for Gota, Godrej Garden City, Vaishnodevi Circle, Chharodi, and surrounding areas.
Trusted by Our Patients
Learn how our expert team and modern facility make every dental visit comfortable and effective.
Jemis P
Gajendra Singh
Dhruv Joshi
Monishca Chros
Chaitali Patel
Smile Stories & Dental Care Tips

Why Dental Veneers Are a Game-Changer in Cosmetic Dentistry
Many people feel uncertain about their self-image, and that uncertainty may be projected onto those around them. A confident, bright

Teeth Cleaning Without Fear: What to Expect at Your Appointment
Many individuals believe that dental cleanings cause anxiety because people think about pain, discomfort, and tooth sensitivity. Most forget that

Thinking About a Smile Makeover? Here’s How a Cosmetic Dentist Helps
You are not alone if you’ve ever felt self-conscious about your smile. Teeth that are stained, chipped, misaligned, gapped, or
Book Your Appointment Today
Experience painless, professional dental care with AKASH Dental Care and Implant Center.





